Cabinet Dentaire 4Barety
Dr Arthur Brenier - Dr Philippe Brenier - Dr Alice Gravlo - Dr Thibaut Melkonian-Stramigioli
ACCUEIL
LE CABINET
PLAN D'ACCÈS
URGENCES
VIDEOS
SOINS, HYGIÈNE ET PATHOLOGIES
TRAITEMENT DES GENCIVES
PROTHÈSES DENTAIRES
IMPLANTS DENTAIRES
DENTISTERIE ESTHÉTIQUE
FICHES CONSEILS
ENGLISH
QUESTIONNAIRE PRÉ-RDV
4 Rue Barety, 06000 NICE
+33 4 93 56 70 56
+33497038730
Cabinet Dentaire 4Barety
Dr Arthur Brenier - Dr Philippe Brenier - Dr Alice Gravlo - Dr Thibaut Melkonian-Stramigioli
ACCUEIL
LE CABINET
PLAN D'ACCÈS
URGENCES
VIDEOS
SOINS, HYGIÈNE ET PATHOLOGIES
TRAITEMENT DES GENCIVES
PROTHÈSES DENTAIRES
IMPLANTS DENTAIRES
DENTISTERIE ESTHÉTIQUE
FICHES CONSEILS
ENGLISH
QUESTIONNAIRE PRÉ-RDV
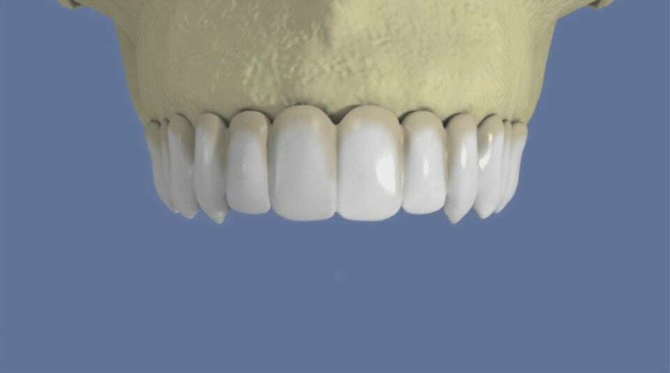
Maxillaire : bridge vissé sans fausse gencive
Vidéos 3D
Partager
Twitter
Partager
Partager
Envoyer
Copier
Cabinet Dentaire 4Barety
+33 4 97 03 87 30 +33 4 93 56 70 56
4 Rue Barety 06000 NICE
Politique de confidentialité et charte cookie
Mentions légales
Conditions Générales Utilisation
Charte déontologique
Ordre national
Annuaires chirurgiens dentistes
Création par
Connexion